De tarieven van Tandartspraktijk Brandebeemd zijn landelijk vastgesteld. Dit betekent dat elke tandartspraktijk dezelfde tarieven hanteert, exclusief eventuele kosten voor techniek of laboratorium. Zo weet u zeker dat u altijd een eerlijke en transparante prijs betaalt voor uw behandeling.
Vervolgafspraken
Na een controle, spoedbezoek of gebitsreiniging kan het soms nodig zijn om terug te komen voor een uitgebreidere behandeling.
Begroting en kosten
Als de kosten van de vervolgbehandeling hoger zijn dan het wettelijk verplichte bedrag van €250,- ontvangt u van ons een gedetailleerde begroting. Deze sturen wij beveiligd naar uw e-mailadres, conform de AVG-wetgeving. U krijgt een pincode om de begroting veilig te openen.
Bent u boven de 18 jaar en heeft u geen verzekering, dan dient u na elke behandeling het bedrag direct af te rekenen via de pin (wij accepteren geen contant geld).
Tandartstarieven worden jaarlijks vastgesteld door de Nederlandse Zorgautoriteit (NZa).
| Code | Omschrijving | Prijs |
|---|---|---|
| C001 | Eerste consult met een voor de zorgaanbieder nieuwe patiënt (niet verwezen) | € 57,66 |
| C002 | Algemeen periodiek mondonderzoek om de toestand van het gebit en het tandvlees te beoordelen. | € 28,51 |
| C003 | Consult, niet zijnde periodieke controle | € 28,51 |
| C010 | Aanvullende medische anamnese na (schriftelijke) routinevragen | € 28,51 |
| C011 | Uitgebreid onderzoek ten behoeve van een second opinion | € 136,56 |
| C012 | Uitgebreid onderzoek ten behoeve van het integrale behandelplan | € 136,56 |
| C013* | Studiemodellen t.b.v. behandelplan | € 37,93 |
| C014 | Pocketregistratie | € 45,52 |
| C015 | Parodontiumregistratie | € 91,04 |
| C016* | Maken en bespreken van een restauratieve proefopstelling | € 227,59 |
| C021 | Toeslag avond, nacht en weekend uren (anw-uren) | € 31,86 |
| C022 | Droogleggen van elementen door middel van een rubberen lapje | € 15,17 |
| Code | Omschrijving | Prijs |
|---|---|---|
| X10 | Maken en beoordelen kleine röntgenfoto | € 21,24 |
| X11 | Beoordelen kleine röntgenfoto | € 15,93 |
| X21 | Maken en beoordelen kaakoverzichtsfoto | € 91,04 |
| X22 | Maken en beoordelen kaakoverzichtsfoto t.b.v. implantologie in de tandeloze kaak | € 91,04 |
| X23 | Beoordelen kaakoverzichtsfoto | € 33,38 |
| X34 | Beoordelen schedelfoto | € 30,35 |
| X26 | Beoordelen meerdimensionale kaakfoto | € 75,86 |
| Code | Omschrijving | Prijs |
|---|---|---|
| M01 | Preventieve voorlichting en/of instructie, per vijf minuten | € 17,01 |
| M02 | Consult voor evaluatie van preventie, per vijf minuten | € 17,01 |
| M03 | Gebitsreiniging, per vijf minuten | € 17,01 |
| M05 | Niet-restauratieve behandeling van cariës in het melkgebit | € 34,14 |
| M30 | Behandeling van gevoelige tandhalzen en (preventief) toedienen medicament | € 7,59 |
| M40 | Fluoridebehandeling | € 18,97 |
| M61* | Mondbeschermer | € 34,14 |
| M80* | Behandeling van witte vlekken, eerste element | € 66,00 |
| M81* | Behandeling van witte vlekken, volgend element | € 36,41 |
| Code | Omschrijving | Prijs |
|---|---|---|
| A10 | Geleidings-, infiltratie- en/of intraligamentaire verdoving | € 18,97 |
| A15 | Oppervlakte verdoving | € 9,86 |
| Code | Omschrijving | Prijs |
|---|---|---|
| V81 | Eénvlaksvulling glasionomeer/glascarbomeer/compomeer | € 47,04 |
| V82 | Tweevlaksvulling glasionomeer/glascarbomeer/compomeer | € 66,00 |
| V83 | Drievlaksvulling glasionomeer/glascarbomeer/compomeer | € 81,17 |
| V84 | Meervlaksvulling glasionomeer/glascarbomeer/compomeer | € 107,73 |
| V91 | Eénvlaksvulling composiet | € 60,69 |
| V92 | Tweevlaksvulling composiet | € 79,66 |
| V93 | Drievlaksvulling composiet | € 94,83 |
| V94 | Meervlaksvulling composiet | € 121,38 |
| V15 | Aanbrengen schildje van tandkleurig plastisch materiaal (facing) | € 84,48 |
| V30 | Fissuurlak eerste element | € 34,14 |
| V35 | Fissuurlak ieder volgend element in dezelfde zitting | € 18,97 |
| V40 | Het polijsten, beslijpen en bijwerken van oude vullingen | € 7,59 |
| V80 | Aanbrengen eerste wortelkanaalstift | € 44,00 |
| V85 | Aanbrengen van elke volgende wortelkanaalstift in hetzelfde element | € 28,83 |
| Code | Omschrijving | Prijs |
|---|---|---|
| E02 | Uitgebreid wortelkanaalbehandeling consult | € 53,11 |
| E03 | Consult na tandheelkundig ongeval | € 41,73 |
| E04 | Toeslag voor kosten bij gebruik van roterende nikkel-titanium instrumenten | € 59,92 |
| E13 | Wortelkanaalbehandeling per element met 1 kanaal | € 136,56 |
| E14 | Wortelkanaalbehandeling per element met 2 kanalen | — |
| E16 | Wortelkanaalbehandeling per element met 3 kanalen | € 257,94 |
| E17 | Wortelkanaalbehandeling per element met 4 of meer kanalen | € 318,63 |
| E85 | Elektronische lengtebepaling | € 18,97 |
| E19 | Insluiten calciumhydroxide of daarmee vergelijkbare desinfectans per element, per zitting | € 22,76 |
| E66 | Wortelkanaalbehandeling van melkelement | € 60,69 |
| Code | Omschrijving | Prijs |
|---|---|---|
| E90 | Inwendig bleken, eerste zitting | € 60,69 |
| E95 | Inwendig bleken, elke volgende zitting | € 22,76 |
| E97* | Uitwendig bleken per kaak | € 94,83 |
| Code | Omschrijving | Prijs |
|---|---|---|
| E40 | Directe pulpa-overkapping | € 37,93 |
| E42 | Terugzetten verplaatst element na ongeval | € 15,17 |
| E43* | Vastzetten element d.m.v. spalk | € 30,35 |
| E44 | Verwijderen spalk, per element | € 7,59 |
| E45 | Aanbrengen rubberdam | € 12,17 |
| E31 | Snij-/hoektand | € 151,73 |
| E32 | Premolaar | € 197,12 |
| E33 | Molaar | € 273,11 |
| E34* | Aanbrengen retrograde vulling | € 30,35 |
| E36* | Trekken element met re-implantatie | € 106,21 |
| E88 | Opvullen pulpakamer | € 75,86 |
| E86 | Gebruik operatiemicroscoop | € 102,42 |
| E87 | Gebruiksklaar maken praktijkruimte | € 75,86 |
| Code | Omschrijving | Prijs |
|---|---|---|
| R08* | Eénvlaks composiet inlay | € 91,04 |
| R09* | Tweevlaks composiet inlay | € 174,49 |
| R10* | Drievlaks composiet inlay | € 227,59 |
| R11* | Eénvlaksinlay | € 136,56 |
| R12* | Tweevlaksinlay | € 212,42 |
| R13* | Drievlaksinlay | € 303,46 |
| R24* | Kroon op natuurlijk element | € 333,80 |
| R34* | Kroon op implantaat | € 303,46 |
| R31 | Opbouw plastisch materiaal | € 75,86 |
| Code | Omschrijving | Prijs |
|---|---|---|
| G21 | Functieonderzoek kauwstelsel | € 136,56 |
| G22 | Verlengd onderzoek OPD | € 273,11 |
| G23 | Spieractiviteitsmeting | € 121,38 |
| G10 | Niet-standaard beetregistratie (toevoeging bij >2 kronen) | € 113,80 |
Extra in rekening te brengen voor nauwkeurigere bepalingen volgend op G10:
| G11 | Scharnierasbepaling | € 113,80 |
| G12 | Centrale relatiebepaling | € 106,21 |
| G13 | Protrale/laterale bepalingen | € 75,86 |
| G14 | Instellen volledig instelbare articulator | € 682,78 |
| G20 | Beetregistratie intra-oraal | € 75,86 |
| Code | Omschrijving | Prijs |
|---|---|---|
| H11 | Trekken tand of kies | € 56,90 |
| H16 | Trekken volgende tand of kies, zelfde zitting/kwadrant | € 42,48 |
| H21 | Kosten hechtmateriaal | € 7,58 |
| H26 | Hechten weke delen | € 83,45 |
| H90 | Voorbereiding praktijkruimte chirurgische verrichtingen | € 75,86 |
| H34 | Vrijleggen ingesloten tand of kies | € 91,04 |
| H35 | Moeizaam trekken tand of kies | € 91,04 |
| H40 | Corrigeren vorm kaak, per kaak | € 68,28 |
| H41 | Verwijderen lipbandje of tongriempje | € 45,52 |
| Code | Omschrijving | Prijs |
|---|---|---|
| H42 | Wortelpuntoperatie zonder afsluiting | € 91,04 |
| H43 | Wortelpuntoperatie met ante- of retrogradeafsluiting | € 121,38 |
| H44 | Primaire antrumsluiting | € 83,45 |
| Code | Omschrijving | Prijs |
|---|---|---|
| P001* | Gedeeltelijk kunstgebit kunsthars (1–4 elementen) | € 113,80 |
| P002* | Gedeeltelijk kunstgebit kunsthars (5–13 elementen) | € 227,59 |
| P003* | Frame kunstgebit (1–4 elementen) | € 311,04 |
| P004* | Frame kunstgebit (5–13 elementen) | € 424,84 |
Volledig kunstgebit
| P020* | Volledig kunstgebit bovenkaak | € 227,59 |
| P021* | Volledig kunstgebit onderkaak | € 303,46 |
| P022* | Volledig kunstgebit boven- en onderkaak | € 493,12 |
| P023* | Tijdelijk volledig kunstgebit per kaak | € 151,73 |
| P040 | Individuele afdruk volledig kunstgebit | € 81,93 |
| P041 | Individuele afdruk gedeeltelijk kunstgebit | € 37,93 |
| P042 | Beetregistratie met specifieke apparatuur | € 75,86 |
| P043 | Frontopstelling / beetbepaling aparte zitting | € 45,52 |
| P044 | Zeer ernstig geslonken kaak | € 102,42 |
| P045 | Immediaat kunstgebit | € 18,97 |
| P046 | Toeslag per element overkappingskunstgebit | € 60,69 |
| P047 | Gegoten anker kunstharskunstgebit | € 22,76 |
| P048 | Precisiekoppeling per koppeling | € 113,80 |
| P049 | Telescoopkroon met precisiekoppeling | € 75,86 |
| P061 | Tissue conditioning per kaak | € 53,11 |
| P062* | Opvullen volledig kunstgebit (indirect) | € 106,97 |
| P063* | Opvullen volledig kunstgebit (direct) | € 107,73 |
| P064* | Opvullen gedeeltelijk kunstgebit (indirect) | € 93,31 |
| P065* | Opvullen gedeeltelijk kunstgebit (direct) | € 97,11 |
| P066* | Opvullen overkappingskunstgebit | € 212,42 |
| P067 | Planmatig inslijpen bestaand kunstgebit | € 37,93 |
| P068* | Reparatie volledig kunstgebit zonder afdruk | € 22,76 |
| P069* | Reparatie volledig kunstgebit met afdruk | € 60,69 |
| P070* | Reparatie gedeeltelijk kunstgebit zonder afdruk | € 22,76 |
| P071* | Reparatie/uitbreiding gedeeltelijk kunstgebit met afdruk | € 60,69 |
| P072* | Uitbreiding tot volledig kunstgebit | € 60,69 |
| U025* | Tijdtarief Wlz-instelling (5 min) | € 17,28 |
| U035* | Tijdtarief Wlz-instelling in eigen praktijk (5 min) | € 19,93 |
| U05* | Tijdtarief begeleiding moeilijk behandelbare patiënten | € 19,93 |
| U06* | Extra tijd begeleiding moeilijk behandelbare patiënten | € 19,93 |

Deze twee kleine röntgenfoto’s worden in overleg gemaakt. Op deze foto kunnen we beoordelen of u gaatjes heeft, oftewel cariës.

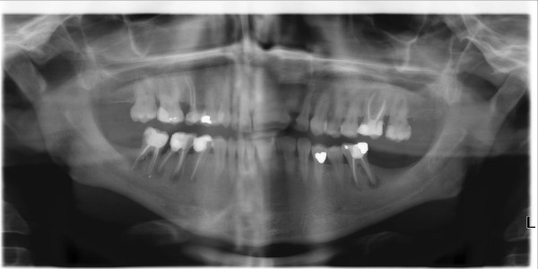
De kaakoverzichtsfoto, oftwel Orthopantomogram (OPD), wordt gemaakt om uw kaakgewricht te beoordelen. Hiermee kunnen we ontsteking(en) aan uw wortelpunt(en) ontdekken, wortelresten analyseren, de ligging van uw verstandskiezen beoordelen en bij de jeugd bekijken of alle volwassen tanden en kiezen aanwezig zijn.
Wij kunnen niet garanderen dat uw behandeling in aanmerking komt voor een vergoeding, aangezien verzekeringspolissen sterk uiteenlopen. De polisvoorwaarden en verzekeringspakketten verschillen per persoon en worden jaarlijks aangepast.
Zowel bij uw allereerste bezoek als bij vervolgafspraken stellen wij altijd een begroting voor u op. Deze bevat de verrichtingencodes waarmee u bij uw verzekeraar kunt nagaan of de behandeling voor vergoeding in aanmerking komt. Daarnaast ontvangt u van ons een vergoedingsberekening (PIEN), maar wij adviseren u altijd om deze zelf bij uw verzekeraar te laten controleren, aangezien de uiteindelijke vergoeding afhankelijk is van uw polisvoorwaarden.
Zoals u van ons gewend bent, streven wij naar maximaal betaalgemak voor onze patiënten. Indien u beschikt over een tandartsverzekering, kunnen wij de factuur doorgaans rechtstreeks naar Infomedics sturen. Heeft u geen tandartsverzekering, dan verzoeken wij u vriendelijk om na elke behandeling direct te pinnen. Tenzij u jonger bent dan 18 jaar; in dat geval vallen de kosten, met uitzondering van kroon- en brugwerk, implantaten en bleken, onder de basisverzekering.
Heeft u vragen over uw rekening of begroting? Neem dan gerust contact op via het contactformulier of telefonisch, ter attentie van mevrouw J. Wildenberg of mevrouw R. van Dongen. Wij helpen u graag verder.

Uw zorgaanbieder zorgt voor u, wij zorgen voor de financiële afhandeling.
Wij sturen u een rekening namens uw zorgaanbieder. Als het mogelijk is, dan controleren wij voor u of uw zorgverzekeraar (een deel van) uw rekening vergoedt. U ziet een vergoeding altijd terug op uw rekening en betaalt alleen het bedrag dat overblijft.
Is er niets vergoed, maar denkt u dat u wel recht heeft op vergoeding van uw zorgverzekeraar? Of heeft u vragen over de hoogte van uw vergoeding? Neem dan contact op met uw zorgverzekeraar.
Patiënten die geen tandarts verzekering hebben dienen na elke behandeling het bedrag meteen af te rekenen per pin. Wij accepteren geen contant geld.